
































|
 |


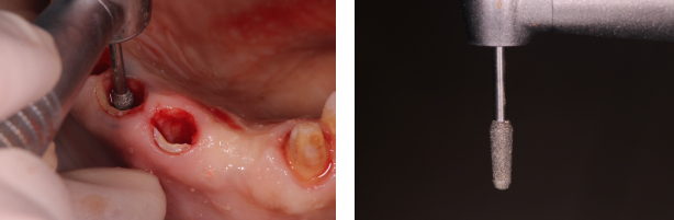
root membrane bur/Crestal trimming bur
テッシュダイヤモンドバー |

 |
 |
【製品のお問い合わせ・ご注文】
ジンヴィ・ジャパン合同会社
東京都新宿区市谷本村町1−1 住友市ヶ谷ビル2F
TEL:0120-418-890 FAX:0120-118-084 |
|
| |
|

6本セット(各形態各1本入)¥15,000
各形態部別に1ケース3本入り¥9,800

ダイヤモンドガイドドリル(CA) |

 |
 |
【製品のお問い合わせ・ご注文】
ジンヴィ・ジャパン合同会社
東京都新宿区市谷本村町1−1 住友市ヶ谷ビル2F
TEL:0120-418-890 FAX:0120-118-084 |
|
|  |

製造販売届出番号:13B1X00079000028
2本セット(3mm、4mm各1本入)¥23,000
2.75mm(1本入)¥13,000

ISFダイヤモンドバー |

 |
|
【製品のお問い合わせ・ご注文】
ジンヴィ・ジャパン合同会社
東京都新宿区市谷本村町1−1 住友市ヶ谷ビル2F
TEL:0120-418-890 FAX:0120-118-084 |
|
 |
|


製造販売届出番号:13B1X00079000037
3本セット(ISF26:1本、ISF34:2本入)¥16,500

2710バー |

 |
|
【製品のお問い合わせ・ご注文】
ジンヴィ・ジャパン合同会社
大阪市豊中市寺内2-4-1 緑地駅ビル4F
TEL:0120-318-418 FAX:0120-314-004
株式会社ADI.G
石川県金沢市浅野本町1-10-10
TEL:076-251-0115 FAX:076-251-9115
藤原歯科貴金属株式会社
大阪府大阪市天王寺区餌差町8-2
TEL:06-6761-2680 FAX:06-6761-5849 |
|
 |
|

BAR2710 3本セット(2710−1、 2710−2、 2710−0) 各1本入り¥11,700
BAR2710S 3本セット(2710−1S、2710−2S、2710−0S )各1本入り¥11,700
各形態別に1ケース3本入り(2710−1、2710−2、2710−1S、2710−2S)¥11,700
(2710−0、2710−0S)¥9,000
(2710−3)¥9,150


root membrane bur/Crestal trimming bur |



使用例
Smooting of root membrane 
Smooting of root membrane
Crestal trimming and smoothing

Crestal trimming bar
Crestal trimming and smoothing

Crestal trimming and smoothing

写真提供:優ビル歯科医院 院長 林揚春先生 |
 |
 |
 |
 |
|
■電話でのお問い合わせ


営業時間:8:00〜19:00

■メールでのお問い合わせ
 |
|
|
|