
































|
 |


Fine4本セット(全長25ミリ)/Fine 全長20ミリタイプ(単品)
Medium4本セット(全長25ミリ)/Medium 全長20ミリタイプ(単品)
Akiyama's Micro Bur forCaries
Dr. Mitsuhashi Micropreparation Set (Restoration)

Fine4本セット(全長25ミリ)/Fine 全長20ミリタイプ(単品) |


| 包装単位: |
Fine4本セット(F-006XLf,F-008XLf,F-010XLf,F-012XLf 各形態1本入り)¥3,200
各形態別に1箱5本入り、10本入り |
|
| 包装単位: |
5本入、10本入/ケース(アソートセットはありません。単品でお求め下さい。) |
|
特徴

●エナメル象牙質境で拡大したカリエスの除去に適している。
●エナメル質をできる限り保存し、軟化象牙質のみを除去することが可能。
●シャンク部分が細長く設計されているため、視野の確保が容易。
●隣接面カリエスの除去に適している。
●歯頸部カリエスの除去が容易。
 使用例
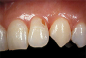
症例1.上顎左側側切歯に認められた歯顎部カリエスの処置

上顎左側側切歯に存在するカリエス |
 |

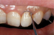
ロングシャンクバーを用いて軟化象牙質の除去を行う。
(F-008-XLf) |
 |

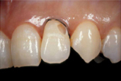
軟化象牙質を完全に除去した状態 |
 |

レジン充填終了後 |
症例2.上顎右第二小臼歯に認められた隣接面カリエスの処置

隣接部カリエスに対して咬合面よりアクセスを行う。
(F-008XLfを使用) |
 |

軟化象牙質を完全に除去した咬合面観。 |
 |

窩洞が隣接面カリエスまで到達し完全に軟化象牙質が除去されている |
 |

レジン充填を終了。 |
症例3.上顎左側側切歯舌側面カリエスの処置

舌面溝に初期カリエスと着色が認められる |
 |

小さなカリエスには小さなロングシャンクラウンドバーが適応する。
(F-006-XLf) |
 |

小さなバーにより最小限の窩洞が可能となる
(F-006-XLf) |
 |

コンポジットレジン充填後 |

Medium4本セット(全長25ミリ)/Medium 全長20ミリタイプ(単品) |

| 包装単位: |
Medium 4本セット(F-006XL,F-008XL,F-101XL,F-012XL 各形態1本入り)¥3,200
各形態別に1箱5本入り、10本入り |
|
| 包装単位: |
5本入、10本入/ケース(アソートセットはありません。単品でお求め下さい。) |
|
【拡大写真】

Akiyama's Micro Bur forCaries |

 |
 |
【製品のお問い合わせ・ご注文】
発売元:
株式会社日本歯科商社
東京都墨田区石原1-19-5
電話:03-3625-3111 FAX:03-3625-1110 |

|
| |
|
| 包装単位: |
5本セット(各形態1本入り,専用バースタンド付)¥17,500
各形態別に1箱5本入り \12,500 |
|
特徴

| ● |
カリエス除去用エキスカとカリエス除去用のバーを同じ基準で規格化することで精密で安全な操作が行えるインスツルメントを開発、制作した。 |
| ● |
秋山のバーは、従来のインスツルメンテーションより正確・安全でMIなカリエス治療を行えるバーであり、また不用意な露髄に対し安全に作業が行えるように1ミリ刻みでラインが入っている。どのくらいの深度で削合しているのか確認しながら作業が行える。 |
YouTubeにて
“AKIYAMA'sマイクロエキスカ・AKIYAMA'sマイクロバー”に動画での解説があります。ご参照ください。

Dr. Mitsuhashi Micropreparation Set (Restoration) |

| 包装単位: |
13本セット(T.K.ロングバーNo.1を除く各形態1本入)¥10,300 バースタンド付
単品:各形態別に5本入り |
|
使用例

F-008XL、F-010XL、F-012XL
隣接面等深い部分のカリエス除去
Postcut26
歯肉に近い部分、深いカリエス除去
BA-1XLff
歯頸部カリエスの窩洞形成
BA-1fff、BA-1Lfff
充填後の咬合面の調整 |
 |
 |
 |
 |
|
■電話でのお問い合わせ


営業時間:8:00〜19:00

■メールでのお問い合わせ
 |
|
|
|