メリーダイヤの歯科用ダイヤモンドバーは、優れた切削性・耐久性を持つダイヤモンドインスツルメントとして、歯科医の先生方より高い評価をいただいています。

ISO認証 個人情報保護方針 サイトマップ
一般医療機器 製造販売業 13B3X00256











































  包装単位:5本入、10本入/ケース  

特徴


再根管治療においてファイバーポストのみを除去するためには、ラウンド形態のダイヤモンドが適しています。
深い位置にあるポストを削り除去する場合、全長が25mm、29mmと長く、しかもネック部の細長いFH-6XL、FH-6XL-ELが有効です。
 坪田デンタルクリニック 坪田有史先生

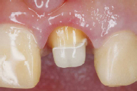
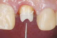
使用例

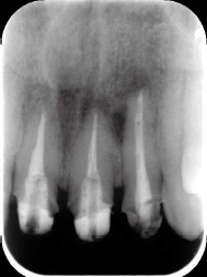
治療前
 
術前X線写真
 

治療中
 
写真提供:坪田デンタルクリニック坪田有史先生
■電話でのお問い合わせ


営業時間:8:00〜19:00

■メールでのお問い合わせ


ホームメリーダイヤの特徴メリーダイヤの製品規格製品案内よくあるご質問会社概要・展示会履歴ISO認証取得お問い合わせフォームご注文方法個人情報保護方針サイトマップ
Copyright © HinatawadaSeimitsu MFG.Co.,Ltd. All rights reserved. Admin by Adart
PAGE TOP ▲